Veracruz, primer lugar nacional en casos de tuberculosis respiratoria

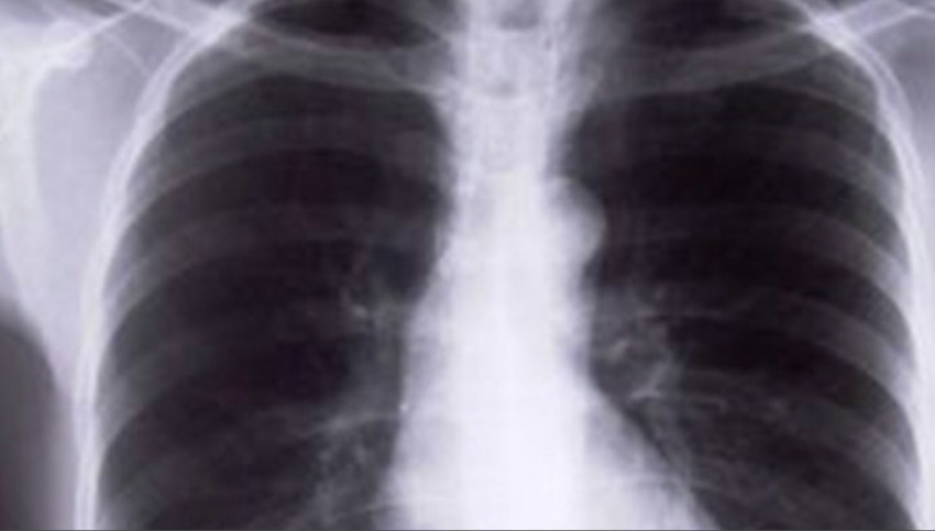
Veracruz se mantiene en el primer lugar nacional en número de casos de tuberculosis respiratoria.

Zona Centro

Agencia - 2024-04-22

Veracruz se mantiene en el primer lugar nacional en número de casos de tuberculosis respiratoria.


La Secretaría de Salud del Gobierno Federal dio a conocer en su reporte epidemiológico que al corte de la semana número 14, la entidad veracruzana registró 526 casos de dicha enfermedad.


En el segundo lugar se ubica Baja California; y en tercero, el estado de Nuevo León.


En el caso de Veracruz, 328 casos corresponden a hombres, y 198, a mujeres.


La cifra de las primeras 14 semanas del año es ligeramente inferior a la registrada en el mismo periodo de 2023, cuando se reportaron 555 casos.

TEMAS RELACIONADOS:

tuberculosis |